
Incredible results and inspiring journeys – see some of our patients' before and after photos next time you visit our practice.







Additive bonding to the incisal edge.












360 degree Veneers

Bonding to close spaces

Ceramic Crowns to fit into Natural Smile

Ceramic Restorations

Ceramic Veneers Natural and White

Crown Replacement to cover Tetracycline Discoloration

Crown & Veneers to address discoloration

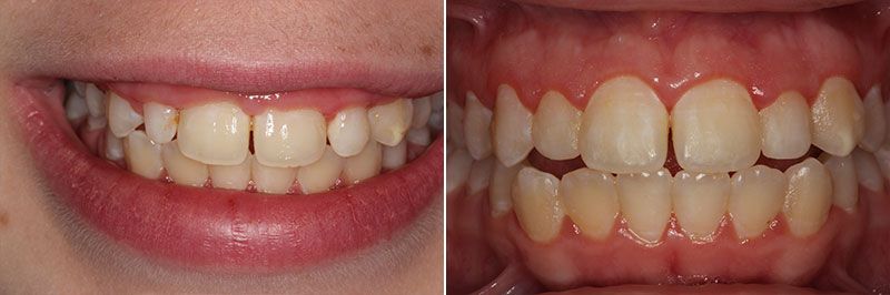
Inman Aligner

Laser Gum Contouring

Maryland Bridge to Replace Missing Laterals

Minimal Make over Inman, Bonding and Crown

Ortho, Whitening, Bonding and Porcelain Veneers

Porcelain to Replace Bonding

Replacing Two Front Teeth With Implants

White spot Treatment using ICON Two Front teeth, One Visit

Straight White Perfect Veneers To Give smile more Volume

Bonding to close spaces

Whitening, Gum Augmentation and Crowns

Porcelain Veneers

Cosmetic Bonding

Full Mouth Rehab

Whitening, Inman, Bonding Peg Laterals

Inman Aligner Followed by Whitening and Bonding

Single-Tooth Implant and 3 Veneers

Veneer Replacement with Metal Free crowns

Direct Bonding of a Chipped Front Tooth